学术资源
两例与神经元迁移障碍相关的脑室周围异位症
病例分享1
·临床信息:女,8天,因“发现皮肤黄染2天”入院,入院后血小板最低14×10^9/L,颅脑MRI考虑结节性硬化可能。
·样本类型:外周血
·检测项目:OmniSeek®全外显子组检测
·检测结果

基因与疾病介绍
FLNA基因位于染色体Xq28,编码细丝蛋白A(filamin A),并参与早期大脑神经发育和神经元迁移[1]。FLNA基因对单倍剂量不足敏感(ClinGen HI 值=3)[2],其功能丧失可导致脑室周围异位1型(Heterotopia, periventricular, 1,PVNH1),PVNH是一种神经元迁移障碍性疾病,在发育过程中,神经元不能从脑室区迁移到皮质,导致脑室周围形成结节状脑组织。大多数患者为女性,表型较轻,通常表现为癫痫,但智力正常,也可能存在无症状但脑部MRI或CT可识别脑室周围异位的患者(易与结节性硬化症混淆),其他可能出现的症状包括心血管系统的缺陷,如动脉导管未闭、二尖瓣主动脉瓣和主动脉窦或胸主动脉窦扩张等,半合子男性患者表型较严重,通常在子宫内死亡。(OMIM,https://www.omim.org/entry/300049)

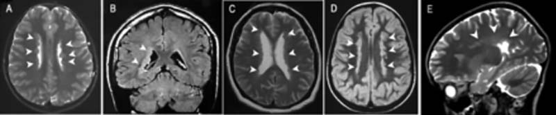
图1.携带FLNA变异的女性患者的脑部成像文献报道的患者脑部存在广泛的连续性或非连续性的脑室周围结节状异位组织病变,病变涉及侧脑室的主体区和三角区[2]
变异的致病性评估
NM_001110556.2:Exon31:c.4**2del:p.Gly1**1AlafsTer11:可能致病性变异
①PM2_Supporting:gnomAD数据库和本地数据库均未收录该变异
②PVS1:FLNA基因变异c.4**2del为移码变异(frameshift),属于功能缺失性变异(LoF)。已知LoF是PVNH1的致病机制(ClinGen HI 值=3),该变异位于第31号外显子(共48个外显子),且该外显子位于生物学相关转录本中。
此外,我们在1例流产的胎儿组织中,也检出FLNA基因的功能丧失变异。
-----------------------------------------------------------------------------------------------------------------------------------
病例分享2
·临床信息:孕28周+胎儿B超显示:后颅窝池宽度为14.8,右侧脑室前角脉丝旁见一片状回声,小脑及蚓部小,双侧脑室旁见出多发斑点状低信号影,双侧侧脑室增宽,形态不规则,三四脑室系统形态,大小及位置未见异常改变,余脑实质未见明显改变。
·样本类型:胎儿组织
·检测项目:OmniSeek®核心家系全外显子组检测
·检测结果

可以看到,胎儿右侧脑室前角脉丝旁见一片状回声、双侧脑室旁见出多发斑点状低信号影,或与脑室周围异位症相关。
总 结
FLNA基因导致脑室周围异位症大多为女性患者,通常表现为癫痫,也可能无症状,脑部MRI或CT出现脑室周围异位是该疾病的重要临床诊断。当胎儿时期,超声检查发现颅脑发育异常时较难识别脑室周围异位症,可进一步行MRI检查,同时全外显子组测序技术有助于明确诊断。
参考文献
[1] Brain. 2006 Jul;129(Pt 7):1892-906. [PMID: 16684786]
[2] https://search.clinicalgenome.org/kb/gene-dosage/HGNC:3754
